Ozonoterapia con procedura Ecoguidata Aperti su appuntamento nel nostro
studio di Parabiago
Copyright @2025 San Francesco Medical Group | All Rights Reserved | Requisiti e Condizioni d'Uso
L’ozonoterapia ecoguidata...consente di trattare i dolori con un utilizzo ridotto dei farmaci antidolorifici/anti-infiammatori, fino a poterne fare a meno.
Prenota comodamente da casa tua una seduta di ozonoterapia ecoguidata (previa prima visita neurochirurgica col dott. Licastro) senza inutili code nè attese al telefono.
La lombalgia (mal di schiena) ė il più comune problema derivante da patologie della colonna spinale. Le strutture più comunemente capaci di originare dolore lombare, anche di notevole e persistente entità, sono il disco intervertebrale e le faccette articolari, conseguentemente a patologie per lo più degenerative.
Mentre è ormai di comune conoscenza come una ernia o protrusione del disco possano generare lombalgia o lombosciatalgia, è decisamente sottovalutata, al momento, la possibilità che il mal di schiena possa essere prodotto da una patologia delle faccette articolari vertebrali.
Tali strutture, che si trovano nella pozione posteriore di ciascuna vertebra, hanno una parte attiva nel movimento della colonna vertebrale.
Quando dolore lombare o degli arti inferiori origina da una degenerazione delle faccette articolari, si parla di sindrome delle faccette articolari lombari (sindrome faccettale lombare, lumbar facet joint syndrome).
La sindrome delle faccette articolari lombari è la causa, in alcune casistiche, del 45% di tutti gli episodi di mal di schiena. I primi ad aver descritto tale patologia furono Goldthwait nel 1911 e Ghormey nel 1933, mentre, alcuni anni dopo, Kaplan e Dreyfuss hanno effettuato le prime terapie.

Le cause più comuni di questa sindrome sono le degenerazioni primarie delle faccette, la spondilolistesi, l’artrite settica delle faccette e le condizioni infiammatorie come l’artrite reumatoide e la spondilite anchilosante.
Per prima cosa è necessario effettuare una visita specialistica (presso un neurochirurgico o ortopedico spinale, terapista del dolore o neuro radiologo interventista specialisti a livello spinale spinale).
Come si può notare dalle figure sottostanti, il dolore che origina da patologia delle faccette articolari lombari può irradiarsi in una zona del tutto simile al dolore che si origina dal disco intervertebrale (protrusione o ernia del disco).


Il dolore da faccetta articolare molto spesso ha la caratteristica di essere un dolore dinamico, che compare nel passaggio posturale, ad esempio, dal passaggio dalla posizione seduta alla posizione ortostatica (in piedi).
E’ anche possibile la presenza di dolore trafittivo (“le fitte”) con sensazione di debolezza degli arti inferiori.
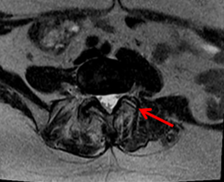
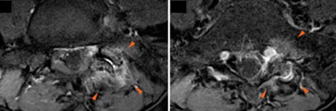
La conferma diagnostica arriva dalla indispensabile risonanza magnetica: si va dai reperti di sinovite fino ai più avanzati stadi di osteartrite di più faccette.



A complicare però il tutto è la possibilità di una mancata correlazione tra quadro clinico e quadro radiologico e quindi la possibile esistenza di una sindrome faccettale in assenza di un quadro radiologico tipico.
Soprattutto in questi casi l’opera dello specialista si rivela determinante nel stilare una corretta diagnosi e nel portare a termine la terapia efficace.
Il trattamento è correlato strettamente all’etiologia della percezione del dolore in tutti casi di sindrome delle faccette articolari lombari: il nervo attraverso il quale viene percepito il dolore è la radice dorsale, ramo del nervo spinale (prevalentemente le branche mediane).
Questo nervo porta essenzialmente stimoli nocicettivi e non provvede a innervazione di muscoli o a trasmissione di stimoli tattili.
Neutralizzare questo nervo significa eliminare il dolore in una sindrome delle faccette articolari.

Il primo passo è quello di effettuare un “blocco nervoso” momentaneo utilizzando generalmente una soluzione di anestetico e cortisone, sotto guida radiografica o ecografica.
Tale blocco può avvenire o a livello del ramo dorsale o a livello intra-articolare.
Tale procedura rappresenta la prova del nove della diagnosi di sindrome delle faccette articolare: se avviene una risposta in termini di scomparsa o decisa diminuzione del dolore presentato, significa che l’ipotesi diagnostica è corretta.

L’efficacia terapeutica di un blocco dura 2-4 settimane, al termine delle quali il dolore si ripresenta.
E’ in questi casi che si ricorre al trattamento più duraturo di questa sindrome: l’ablazione con radiofrequenza.
La tecnica consiste nel posizionare in corrispondenza del ramo dorsale del livello interessato un ago con elettrodo e attraverso una corrente sinusoidale di 400-500 kHz determinare un aumento della temperatura locale (superiore a 45 °C) e produrre la disattivazione delle fibre del ramo nervoso.

I risultati sono ottimi: tale procedura si rivela efficace nel 90 % dei casi.
La durata di azione può essere di definitiva anche se in alcuni casi, bisogna ripeterla a distanza di 12-18 mesi.
Gli effetti indesiderati sono rari (circa 1%) e includono disestesie e iperestesie cutanee circoscritte o, ancora più raramente un danno motorio o sensitivo, evitabile attraverso una stimolazione sensitiva e motoria, che precede ogni procedura di radiofrequenza.