Ozonoterapia con procedura Ecoguidata Aperti su appuntamento nel nostro
studio di Parabiago
Copyright @2025 San Francesco Medical Group | All Rights Reserved | Requisiti e Condizioni d'Uso
L’ozonoterapia ecoguidata...consente di trattare i dolori con un utilizzo ridotto dei farmaci antidolorifici/anti-infiammatori, fino a poterne fare a meno.
Prenota comodamente da casa tua una seduta di ozonoterapia ecoguidata (previa prima visita neurochirurgica col dott. Licastro) senza inutili code nè attese al telefono.
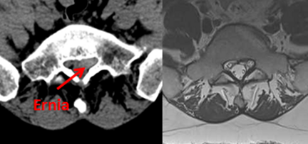
Una giovane donna ha presentato improvvisa intensa sciatalgia sinistra che, nonostante il forte carattere della paziente, la costringeva a riposo a letto.
Ha effettuato una tac della colonna lombare con evidenza di voluminosa ernia discale L5-S1 sinistra con frammento migrato in basso.
Le terapie farmacologiche eseguite avevano portato solo un minimo miglioramento del dolore.
La donna optava per trattamento conservativo con ossigeno-ozono terapia. La VAS iniziale era di 9.
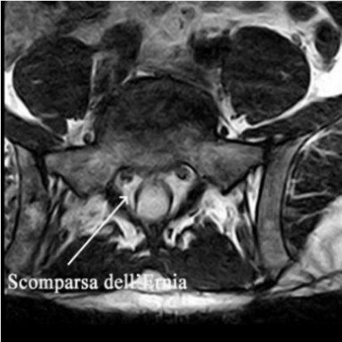
Eseguiva trattamento di 2 sedute la settimana di ozonoterapia eco guidata sull’ernia per 6 settimane (12 sedute).
Si è assistito da subito miglioramento graduale e progressivo fino a, nelle ultime sedute, remissione del dolore con azzeramento della VAS.
A distanza di un anno eseguiva risonanza magnetica, con completa scomparsa del frammento erniario.
La regressione di un ernia discale può essere un fenomeno naturale e spontaneo. In questo caso non è scientificamente dimostrabile il rapporto con l’ozonoterapia sull’ottima evoluzione radiologica.


Il signore presentava intensa lombalgia e sciatalgia destra intensa e invalidante, tale da costringerlo a letto, con grave disagio di ogni attività sociale e impossibilità assoluta a svolgimento dell'attività lavorativa.
Nella scala soggettiva del dolore [VAS] che va da 0 (assenza di dolore) a 10 (dolore insopportabile e estremamente intenso), il signore riferiva una iniziale VAS di 8-9.
Gli veniva prescritta esecuzione di risonanza magnetica della colonna lombare. Effettuava alcune sedute di scramblertherapy, con associata terapia antidolorifica e anti-infiammatoria. La VAS (il dolore) migliorava e scendeva da 8-9 a 6-7.
Ciò consentiva una più agevole esecuzione della risonanza magnetica, che evidenziava una voluminosa ernia discale espulsa L5-S1 destra.


Eseguiva 15 sedute di ozonoterapia eco guidata sulla focalità erniaria.
La regressione del dolore è stata lenta e progressiva, con graduale discesa della VAS a 0-1.
Il signore beneficiato di un recupero del contesto familiare, ha potuto riprendere la normale attività lavorativa e sociale e sportiva non agonistica.
A distanza di 4 mesi ha effettuato una nuova risonanza magnetica lombare, che ha documentato la completa scomparsa della voluminosa ernia.


Secondo i criteri della medicina moderna non si può affermare con assoluta certezza che l’ozonoterapia eco guidata sia stata la causa diretta ed esclusiva della scomparsa dell’ernia, tenendo anche conto che la regressione di un’ernia discale può essere un fenomeno naturale e spontaneo.
Questa persona ha avuto un acutissimo, improvviso e insopportabile dolore alla gamba sinistra di tipo trafittivo e urente.
Nelle giornate successive riposo obbligato a letto e scarsa efficacia delle terapie farmacologiche.
Una risonanza lombare ha evidenziato cisti sinoviale a ridosso della radice nervosa a livello L4-L5 sinistra.
Non presentava disturbi di forza all’esame neurologico obbiettivo.
Optava per ozonoterapia.


Nel corso delle sedute (effettuate alcunecon tecnica ecoguidata iuxtaradicolare L4-L5 graduale diminuzione del dolore sciatico.
Alla fine delle 8 sedute (4 settimane di trattamento), regressione completa del dolore alla gamba sinistra, con possibilità completa di mobilizzazione e graduale ritorno alla normalità.
A distanza di 4 mesi ha effettuato una nuova risonanza magnetica lombare, che ha documentato la completa scomparsa della cisti sinoviale.


Anche in questo caso non è dimostrabile l'esclusivo rapporto tra ozonoterapia ecoguidata e la scomparsa della cisti sinoviale.
Il paziente presentava da 2 mesi dolore lombare con irradiazione alla coscia e ginocchio sinistro, del tipo cruralgia con associate intense parestesie (formicolii).
L’obbiettività neurologica evidenziava ipotonia del muscolo quadricipite femorale di sinistra.
Una risonanza lombare evidenziava un’ernia discale espulsa L2-L3 sinistra e migrata verso l’alto.


Le terapie farmacologiche avevano prodotto solo un parziale e non significativo miglioramento del dolore.
Il paziente optava per trattamento conservativo con ossigeno-ozono terapia.
Già dopo la seconda seduta, il signore beneficiava di un miglioramento della sintomatologia dopo 6 sedute di ozonoterapia e nel giro di 5 settimane recupero completo dell’autonomia lavorativa.
Dopo pochi mesi il signore ha potuto riprendere l’attività sportiva non agonistica.
A distanza di 12 mesi ha effettuato una nuova risonanza magnetica lombare, che ha documentato la completa scomparsa dell'ernia.


Per questo e numerosi altri casi documentati, vale sempre la non certezza della correlazione tra ozonoterapia ecoguidata e regressione dell'ernia.
Il signore presentava da un mese sciatica sinistra intensa, con associato disturbo di forza della flessione dorsale del piede sinistro.
Una risonanza magnetica lombare documentava ernia discale L4-L5 espulsa e migrata in basso.


Veniva posta indicazione chirurgica, ma il paziente optava per un trattamento conservativo.
Effettuava quindi 4 sedute di ozonoterapia: 2 con tecnica ecoguidata iuxtaradicolare L3-L4 e L4-L5 e due paravertebrali.
Nell’arco di 20 giorni scomparsa del dolore, tanto che il paziente ha potuto fare a meno dell’assunzione di farmaci anti-infiammatori e antidolorifici.
Netto miglioramento, con recupero funzionale del deficit stenico del piede sinistro.
Persona affetta da 2 mesi da dolore lombare e sciatalgia sinistra persistente, molto intensa.
Una risonanza lombare evidenziava un’ernia discale molto voluminosa espulsa L5-S1 sinistra.
Non presentava disturbi di forza all’esame neurologico obbiettivo.
Il paziente non era incline al trattamento neurochirurgico e si optava per ozonoterapia.


Non presentava disturbi di forza all’esame neurologico obbiettivo.
Il paziente non era incline al trattamento neurochirurgico e si optava per ozonoterapia.
Nel corso delle sedute (effettuate alcune con tecnica ecoguidata iuxtaradicolare L5-S1 ed altre paravertebrali) graduale regressione del mal di schiena e diminuzione el dolore sciatico.
Alla fine delle 6 sedute (3 settimane di trattamento), regressione completa del dolore allagamba sinistra, con possibilità di ripresa dell’attività lavorativa.
Acutissima e improvvisa comparsa di dolore al braccio sinistro, insopportabile che si accompagnava ad intense sensazioni di “scosse elettriche”, tale da costringere questa persona a dover cessare l’attività lavorativa e ogni attività sociale.
Una risonanza lombare ha ernia discale cervicale C5-C6 .
Non presentava disturbi di forza all’esame neurologico obbiettivo.
Optava per ozonoterapia.


Nel corso delle sedute (effettuate alcune con tecnica ecoguidata iuxtaradicolare C5-C6, utilizzo di ecosonordoppler vascolare, graduale diminuzione del dolore.
Alla fine delle 8 sedute (4 settimane di trattamento), regressione completa del dolore brachiale sinistro, con possibilità completa di mobilizzazione e graduale ritorno alla normalità e ripresa dell’attività lavorativa, senza assumere alcun farmaco.
In questo caso era presente un dolore a tutto l’arto inferiore di sinistro, continuo e urente.
Una risonanza lombare evidenziava un’ernia discale espulsa L4-L5 sinistra molto voluminosa.


Le terapie farmacologiche avevano prodotto solo un parziale e non significativo miglioramento del dolore.
Il paziente optava per trattamento conservativo con ossigeno-ozono terapia.
Nel giro di 5 settimane (10 sedute) miglioramento della sintomatologia con graduale ripresa dell’attività lavorativa.
Il signore era stato operato alcuni anni fa per ernia discale lombare L5-S1 sinistra.
Dopo un periodo di benessere, aveva presentato recrudescenza di sciatalgia sinistra, che era divenuta progressivamente iperalgica invalidante, tale da costringere il soggetto al riposo a letto obbligato.
Per tale motivo aveva effettuato una risonanza magnetica del rachide lombare con evidenza di voluminosa recidiva discale L5-S1 sinistra.

Le terapie farmacologiche eseguite non avevano prodotto alcun effetto sul miglioramento del dolore.
La VAS iniziale era di 8.
Eseguiva dapprima trattamento di 2 sedute la settimana e dopo 3 settimane (6 sedute) si poteva assistere a una riduzione della VAS, che si portava a 6 e soprattutto ad una parziale ripresa degli spostamenti.
Il miglioramento è stato molto progressivo ma costante.
Dopo altre sedute con cadenza bisettimanali (10) si è passato a sedute una volta la settimana (5) ed in fine mensili (7).
Il signore a questo punto era asintomatico, eccetto che per la presenza di incostanti lievi e sopportabili parestesie al polpaccio sinistro e la sciatica era assente.

Secondo gli attuali criteri scientifici non è dimostrabile l'esclusivo rapporto tra ozonoterapia ecoguidata e la scomparsa dell’ernia.